DENTAL | VENEERS

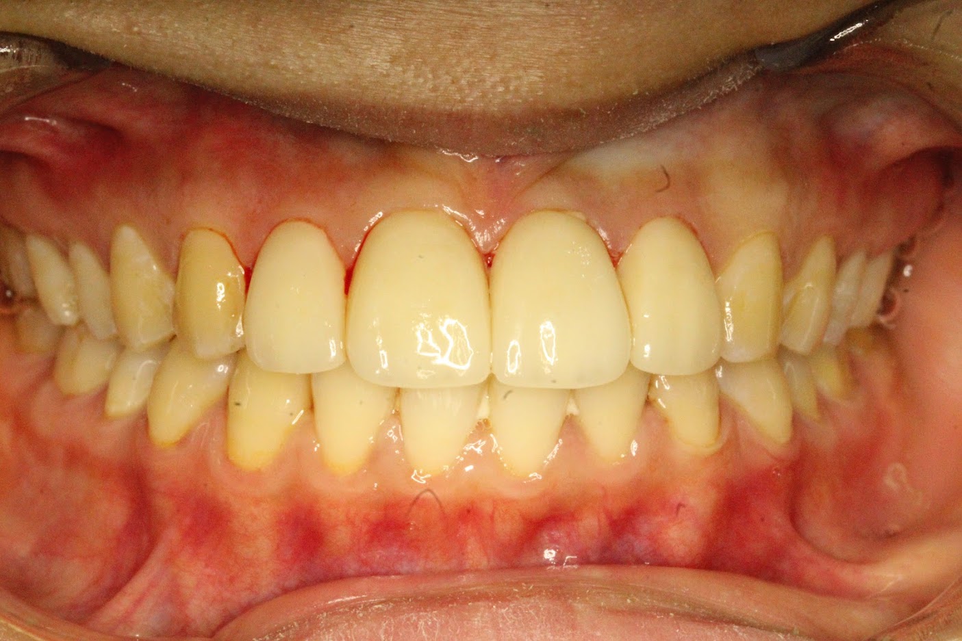
image3_auto_x2_colored_tonedveneer after

What are Dental Veneers?

Dental veneers (sometimes called porcelain veneers or dental porcelain laminates) are wafer-thin, custom-made shells of tooth-colored materials designed to cover the front surface of teeth to improve your appearance. These shells are bonded to the front of the teeth changing their color, shape, size, or length.

After teeth whitening, veneers is one of the most popular cosmetic treatments. In essence, veneers are a non-surgical solution to a whole host of dental problems including cracked or chipped teeth, stained teeth that can’t be fixed using teeth whitening techniques, slight tooth gaps, or uneven tooth size.

Veneers have the ability to restore color, form and function to your smile fast.

What’s involved?

Veneers consist of ultra thin, shell-like layers of dental porcelain that are placed directly on the outside of your existing teeth. In order to apply the veneer a tiny amount of the tooth surface is removed (usually less than 1mm) so that the veneer sits flush with the rest of the teeth. This allows not only for better aesthetics, but also helps the natural function of the tooth.

Based on diagnostic wax-up models, we will determine dimensions of the porcelain veneers that will suit your face and then we advise how much tooth structure needs to be altered if any. Whenever possible, we opt for prep-less veneers to preserve your tooth structure.

We then take an impression or digital scan of your teeth from which a model of your mouth will be made. We also take numerous digital photos to communicate to the master ceramist the desired results.

Since there is an approximately 1 to 2 week period to fabricate the ceramic veneers, temporary veneers are fabricated and fitted. The temporaries will give you a preview of the expected outcome and also help us identify adjustments that may be needed during the fabrication of the permanent tooth porcelain veneers.